Il rate sa tentative de suicide … à l’arbalète et s’en sort sans séquelles
Publié : 5 février 2020 à 12h41 par La rédaction
/t:r(unknown)/fit-in/1100x2000/filters:format(webp)/radios/radiostarmediterranee/importrk/news/original/5e3ab84371ac30.51487478.jpg)
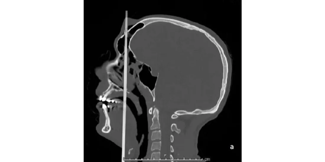
C'est un cas clinique exceptionnel qu’il a été donné d’observer à des chirurgiens et réanimateurs du CHU de Reims fin janvier. Après une rupture amoureuse, un Rémois de 28 ans a souhaité mettre fin à ses jours avec une arbalète, en se tirant une flèche dans la tête. Tirée depuis la base du cou et ressortie par le front, elle n’a, par miracle, provoqué aucune lésion vasculaire, cérébrale ou nerveuse, comme le raconte un blog médical hébergé par nos confrères du Monde.
Autrement dit, le malheureux a non seulement raté son suicide, mais est également resté tout à fait conscient jusqu’à l’arrivée des secours, sans saignement. Il lui était en revanche impossible de parler, et même de bouger, car la flèche s’est fichée dans le mur contre lequel il était assis.
La flèche a épargné toutes les structures vitales
Transféré à l’hôpital, le jeune homme a été soumis à un scanner, qui a révélé l’absence de lésion de quelque nature que ce soit (vasculaire, cérébrale et nerveuse). "La flèche a traversé le plan de la ligne médiane de la face tout en épargnant cependant toutes les structures vitales de la tête et du cou", décrit l’article, qui reprend une publication scientifique (European Annals of Otorhinolaryngology) parue le 22 janvier dernier.
Placé sous sédatif et alimenté en oxygène, le patient s’est fait retirer la flèche avant d’être intubé. Aucune lésion n’a non plus été constatée dans la bouche. Après 48h en soins intensifs et un passage dans le service d’ORL, il a été envoyé en psychiatrie.
/t:r(unknown)/fit-in/300x2000/filters:format(webp)/filters:quality(100)/radios/radiostarmediterranee/images/logo_7gI8TrHhDG.png)